Cách phát hiện ung thư vú: Những phương pháp quan trọng giúp phát hiện
10/01/2025 Tin tức
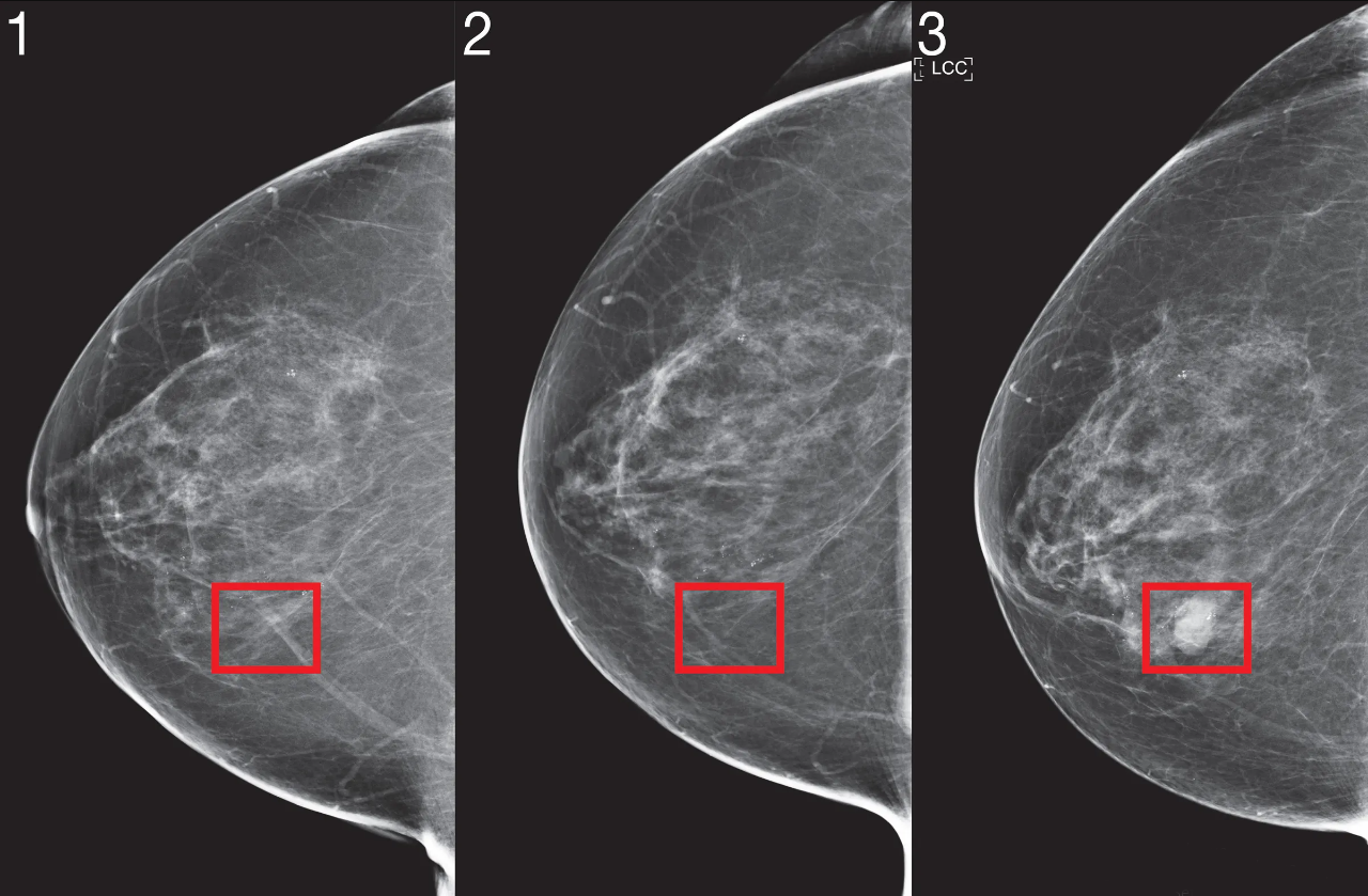
Cách phát hiện ung thư vú: Những phương pháp quan trọng giúp phát hiện

Ung thư vú là một trong những loại ung thư phổ biến nhất ở phụ nữ. Tuy nhiên, nếu phát hiện sớm, tỷ lệ điều trị thành công rất cao. Việc phát...

Xem thêm
Sinh thiết vú ở đâu tốt? Lựa chọn địa chỉ uy tín để đảm bảo kết quả chính xác
03/01/2025 Tin tức
Sinh thiết vú ở đâu tốt? Lựa chọn địa chỉ uy tín để đảm bảo kết quả chính xác

Khi phát hiện các dấu hiệu bất thường ở vú hoặc có nguy cơ mắc ung thư vú, sinh thiết vú là một trong những phương pháp chẩn đoán quan trọng nhất...

Xem thêm
Sinh thiết vú có chính xác không? Độ chính xác và những yếu tố ảnh hưởng đến kết quả
03/01/2025 Tin tức
Sinh thiết vú có chính xác không? Độ chính xác và những yếu tố ảnh hưởng đến kết quả

Sinh thiết vú là một phương pháp quan trọng trong chẩn đoán các bệnh lý tuyến vú, đặc biệt là ung thư vú. Một trong những câu hỏi phổ biến mà...

Xem thêm
Quy trình khám ung thư vú: Các bước tầm soát và chẩn đoán hiệu quả
03/01/2025 Tin tức
Quy trình khám ung thư vú: Các bước tầm soát và chẩn đoán hiệu quả

Ung thư vú là một trong những bệnh ung thư phổ biến nhất ở phụ nữ, nhưng nếu được phát hiện sớm, tỷ lệ điều trị thành công có thể rất cao....

Xem thêm
Nên khám vú vào thời điểm nào? Thời điểm quan trọng trong việc phát hiện sớm bệnh lý tuyến vú
26/12/2024 Tin tức
Nên khám vú vào thời điểm nào? Thời điểm quan trọng trong việc phát hiện sớm bệnh lý tuyến vú

Khám vú định kỳ là một phần quan trọng trong việc duy trì sức khỏe của phụ nữ, giúp phát hiện sớm các vấn đề về vú, bao gồm ung thư vú, bướu...

Xem thêm
Các thể ung thư vú: Phân loại, dấu hiệu và cách điều trị
26/12/2024 Tin tức
Các thể ung thư vú: Phân loại, dấu hiệu và cách điều trị

Ung thư vú là bệnh lý có thể có nhiều thể loại khác nhau, mỗi thể có các đặc điểm, cách phát triển và phương pháp điều trị riêng biệt. Việc...

Xem thêm
Liên hệ Hotline: 1900.099990 Messenger Chat Chát FB cùng chúng tôi wiget Chat Zalo Chát Zalo cùng chúng tôi Lên đầu trang