Hotline
1900.099990
Siêu âm vú là một trong những phương pháp được áp dụng để thăm khám các bệnh lý tuyến vú cũng như tầm soát ung thư phổ biến hiện nay. Siêu âm có nhiều ưu điểm như: Chi phí tốt, đánh giá được kích thước, an toàn cho người thực hiện,... Dưới đây, Mammocare sẽ chia sẻ những thông tin chi tiết về siêu ấm tuyến vú, bạn đọc tham khảo để thực hiện khi cần thiết
Siêu âm vú là kỹ thuật sử dụng sóng âm tần số cao để dựng nên hình ảnh. Chùm sóng sẽ đi xuyên qua vú và phản âm từ các mô khác nhau, mô phỏng cấu trúc bên trong vú.
Về ưu điểm thì siêu âm có chi phí không quá cao, dễ thực hiện, không xâm lấn và không gây đau đớn. Chính vì vậy kỹ thuật này thường được bác sĩ chỉ định trong các trường hợp cần khảo sát bản chất tổn thương sờ được trên khám nghiệm lâm sàng.

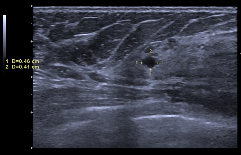
Hình ảnh siêu âm vú trên màn hình
Mục đích khi thực hiện siêu âm để:
XEM THÊM: Sinh Thiết Vú: Phân Loại, Đối Tượng Và Quy Trình Thực Hiện
Phụ nữ ở mọi độ tuổi đều có thể mắc các bệnh lý tuyến vú. Siêu âm là phương pháp kiểm tra cơ bản nhất và thường sẽ áp dụng cho mọi đối tượng khi thăm khám vú ở các cơ sở y tế. Ngoài ra, siêu âm còn được chỉ định cho đối tượng khi gặp những tình trạng sau:

Những biểu hiện bất thường tại vú đều cần đi thăm khám, siêu âm
Siêu âm là một trong những kỹ thuật được áp dụng phổ biến trong tầm soát ung thư vú cùng với chụp X quang, sinh thiết và MRI. Vậy siêu âm vú có phát hiện ung thư được hay không? Câu trả lời là không. Siêu âm không phải là phương pháp độc lập có thể đưa ra chính xác kết quả tầm soát mà thường chỉ được kết hợp thêm để đánh giá bản chất khối u và theo dõi tình trạng phát triển.
Nói cách khác, siêu âm giữ vai trò là phương tiện bổ sung nhất là đối với trường hợp chụp nhũ ảnh bị giới hạn hay những phụ nữ có mô tuyến vú đặc. Lúc này siêu âm rất quan trọng để đánh giá có hay không sự tồn tại của khối u.
Ngoài ra siêu âm giữ vai trò trong hướng dẫn làm sinh thiết vú, đánh giá giai đoạn của khối u và lên kế hoạch điều trị tốt nhất. Nói chung phụ nữ nên thực hiện siêu âm từ 6 tháng đến một năm một lần để kiểm tra tình trạng sức khỏe nói chung và vú nói riêng.

Siêu âm thường được kết hợp cùng nhiều phương pháp khác trong tầm soát ung thư
Trước khi siêu âm bạn không cần chuẩn bị gì, có thể chú ý trong trang phục để dễ cởi hơn. Các bước thực hiện theo yêu cầu của bác sĩ:

Quy trình thực hiện siêu âm nhanh, gọn
Bên cạnh việc người bệnh nên siêu âm ở đâu uy tín, chất lượng thì siêu âm vú giá bao nhiêu cũng được nhiều bệnh nhân quan tâm. Chi phí cho mỗi lần siêu âm sẽ dao động từ 200.000 - 700.000 VNĐ tùy vào dịch vụ, địa chỉ thực hiện của mỗi người. Có thể thấy chi phí tầm soát ung thư vú bằng là siêu âm thấp nhất trong số những phương pháp còn lại hiện nay.
Một trong những địa chỉ thực hiện siêu âm vú an toàn, uy tín được nhiều người đánh giá cao chính là Trung tâm chẩn đoán hình ảnh vú Mammocare. Với hai cơ sở Hà Nội và Nghệ An, Mammocare là trung tâm chẩn đoán hình ảnh vú tư nhân đầu tiên tại Việt Nam. Trung tâm đã và đang là sự lựa chọn đáng tin cậy của hàng triệu người khi có nhu cầu thăm khám và tầm soát ung thư vú.

Mammocare - Địa chỉ thực hiện siêu âm an toàn, chuyên nghiệp, uy tín
Hàng trăm nghìn người bệnh đã tin tưởng và lựa chọn Trung tâm chẩn đoán hình ảnh vú Mammocare để thực hiện siêu âm, chụp X quang hay sinh thiết vú và đều có những phản hồi tích cực về chất lượng dịch vụ. Người bệnh hoàn toàn có thể yên tâm và đặt niềm tin với Mammocare.
Trên đây là những thông tin chi tiết về kỹ thuật siêu âm vú trong thăm khám và tầm soát ung thư vú. Người bệnh có nhu cầu cần được tư vấn, hỗ trợ mời liên hệ qua những thông tin dưới đây:
|
TRUNG TÂM CHẨN ĐOÁN HÌNH ẢNH VÚ MAMMOCARE Mammocare Hà Nội:
Mammocare Nghệ An:
|