Hotline
1900.099990
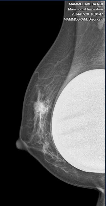
Gần đây, Trung tâm Vú Mammocare Hà Nội đã tiếp nhận trường hợp đáng tiếc của chị N.T.P, một bệnh nhân vừa đặt túi ngực được 6 tháng và đến kiểm tra xem tình trạng túi ngực đã ổn định hay chưa. Sau khi tiến hành kiểm tra bằng X-quang và siêu âm, kết quả cho thấy túi ngực của chị không có vấn đề gì đáng lo ngại. Tuy nhiên, một phát hiện đáng ngại xuất hiện trên vú phải của chị.
Gần đây, Trung tâm Vú Mammocare Hà Nội đã tiếp nhận trường hợp đáng tiếc của chị N.T.P, một bệnh nhân vừa đặt túi ngực được 6 tháng và đến kiểm tra xem tình trạng túi ngực đã ổn định hay chưa. Sau khi tiến hành kiểm tra bằng X-quang và siêu âm, kết quả cho thấy túi ngực của chị không có vấn đề gì đáng lo ngại. Tuy nhiên, một phát hiện đáng ngại xuất hiện trên vú phải của chị.
Cụ thể, kết quả X-quang cho thấy vú phải của chị có một khối nhân giảm âm với bờ tua gai trục dọc, bên trong có vôi hóa nhỏ với kích thước khoảng 12x13mm, cùng với một hạch nách phải có kích thước khoảng 13x16mm. Do kết quả nghi ngờ, chị P đã được chỉ định làm sinh thiết kim lõi và kết quả chẩn đoán là ung thư biểu mô xâm nhập, NOS, độ II, và di căn hạch nách.
Đáng chú ý, 6 tháng trước, khi chị P tiến hành đặt túi ngực, chỉ có siêu âm được thực hiện để kiểm tra. Tổn thương vi vôi hóa chỉ được phát hiện khi thực hiện chụp X-quang vú. Mặc dù tình trạng túi ngực không có gì bất thường, nhưng phát hiện ung thư vú khi được chụp X-quang đã khiến việc điều trị trở nên cần thiết và cấp bách. Hiện tại, chị P đã nhập viện K để bắt đầu điều trị ung thư.



Điều đáng nói là, khi chị P thực hiện phẫu thuật đặt túi ngực cách đây 6 tháng, chỉ có siêu âm được thực hiện để kiểm tra. Tuy nhiên, tổn thương vi vôi hóa chỉ được phát hiện khi thực hiện chụp X-quang vú. Tổn thương ung thư vú không thể được phát hiện chỉ qua siêu âm mà cần phải kết hợp với các phương pháp chẩn đoán hình ảnh khác, như X-quang vú.
Trường hợp này là một lời cảnh tỉnh cho tất cả chị em phụ nữ. Cho dù có thực hiện phẫu thuật thẩm mỹ hay không, việc tầm soát ung thư vú định kỳ là vô cùng quan trọng. Các chị em cần phải kiểm tra và theo dõi sức khỏe vú một cách thường xuyên để phát hiện bệnh sớm, đặc biệt là với ung thư vú, một căn bệnh có thể phát triển âm thầm và khó phát hiện nếu không được kiểm tra định kỳ.


Trường hợp của chị P là một bài học quan trọng và là lời cảnh tỉnh cho tất cả chị em phụ nữ có ý định làm phẫu thuật nâng ngực hoặc đã đặt túi ngực. Dù đã thực hiện phẫu thuật thẩm mỹ, việc tầm soát và kiểm tra sức khỏe định kỳ là vô cùng quan trọng. Tầm soát ung thư vú không chỉ giúp phát hiện sớm các dấu hiệu ung thư mà còn bảo vệ sức khỏe lâu dài.
Nếu bạn có kế hoạch đặt túi ngực, hãy đảm bảo rằng bạn đã thực hiện đầy đủ các xét nghiệm tầm soát trước khi phẫu thuật, bao gồm cả X-quang vú và siêu âm. Đây là những phương pháp hữu hiệu giúp phát hiện bất kỳ dấu hiệu nghi ngờ nào về bệnh lý tuyến vú. Đối với những chị em chưa đặt túi ngực, việc kiểm tra định kỳ cũng không kém phần quan trọng, vì ung thư vú nếu không được phát hiện sớm sẽ phát triển rất nhanh và khó điều trị.
Tầm soát ung thư vú và chăm sóc sức khỏe định kỳ là việc làm cần thiết để bảo vệ bạn khỏi các bệnh lý nguy hiểm, đặc biệt là ung thư vú, một căn bệnh có thể diễn biến âm thầm và chỉ được phát hiện khi đã ở giai đoạn muộn.
|
TRUNG TÂM CHẨN ĐOÁN HÌNH ẢNH VÚ MAMMOCARE Mammocare Hà Nội:
Mammocare Nghệ An:
|